Clicky

Божья аптека. Лечебные травы, безопасное лечение, профилактика. Принципы здоровья: Лекарство: за и против

Принципы здоровья: Лекарство: за и против

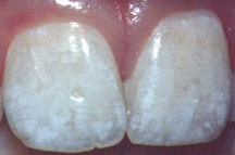
Ампициллин может провоцировать флюороз

Ампициллин может провоцировать флюорозВ октябрьском номере журнала of Pediatric & Adolescent Medicine сообщается, что амоксициллин может привести к поражениям эмали зубов (флюорозу) у детей. Флюороз - один из самых частых дефектов развития зубной эмали, который связан с воздействием избыточного количества фторидов. При флюорозе отмечаются структурные изменения и деминерализация зубной эмали. Проявления флюроза варьируют от небольших пятен до безобразных сливающихся рытвин и отвратительных изменений цвета зубов. Ученые наблюдали детей в возрасте от 0 до 32 месяцев жизни. Употребление амоксициллина каждые 3-4 месяца увеличивал относительный риск поражения резцов верхней челюсти флюрозом более чем в два раза. По мнению доктора стоматологии из университета Огайо С. Пол, необходимы дальнейшие исследования данного феномена на экспериментальной модели . Проведение исследования поддержал Национальный институт здоровья США.

 

Антибиотики лечат угри, но в ущерб болезням горла

  
Угри (прыщи) на лице - достаточно распространенное состояние в подростковом возрасте. Их появление связано с той гормональной "бурей", которая захватывает организм подростка в период его полового созревания. Помимо эстетического дефекта, появление угрей часто формирует всевозможные психологические комплексы, что заканчивается душевным дискомфортом подростка.
Наиболее часто в таких случаях используются лечебные средства, включающие антибактериальные вещества - антибиотики. Однако антибиотики - не такие и безобидные вещества, как традиционно о них бытует мнение, сообщается в одном из последних исследований.
Дело в том, что современные стандарты лечения угрей лица с использованием антибиотиков требуют их долгосрочного применения, повторными курсами на протяжении нескольких недель. Однако, как сообщается исследователями из Пенсильвании (США), применение антибиотиков от угрей такое продолжительное время значительно повышает риск развития ин фекции верхних дыхательных путей.
В своих исследованиях ученые использовали медицинскую базу данных Великобритании, включающей более 110 тысяч больных угрями, благодаря которой сравнивали частоту развития острых респираторных вирусных заболеваний, ангин, тонзиллитов и ларингитов у лиц, которые использовали антибактериальные средства. Более 6 недель антибиотики в таблетках или в виде мазей применялись у 72% обследованных. Уже в течение первого полугодия у них развивалась хотя бы одна инфекция верхних дыхательных путей, а к концу года от начала лечения риск заболеть возрастал в 2,15 раза, по сравнению с теми, кто антибиотики не принимал.
Такой неблагоприятный эффект длительного применения антибиотиков был связан с тем, что они убивали в полости рта "хорошие" микроорганизмы, которые в нормальных условиях защищают горло от "вредных" бактерий. Британские эксперты не отрицают факт повышения риска от использования антибиотиков в лечении угрей. Но на сегодняшний день это п рактически единственный эффективный метод в лечении этого недуга. Поэтому, навряд ли, в ближайшем будущем можно ожидать изменения подходов в лечении угрей.
 
Источник : Посольство Медицины

 

Вредят ли антибиотики детям

Вредят ли антибиотики детям

В престижнейшем британском медицинском издании «British Medical Journal» был опубликован доклад, который заставил многих врачей задуматься. Дело в том, что многократное использование антибиотиков вырабатывает в организме ребенка устойчивость к подобным препаратам. И как следствие, при возникновении каждого последующего заболевания организм в меньшей степени способен сам справляться с болезнью. И каждая новая болезнь требует все более сильных препаратов. Собственная иммунная система ребенка теряет способность противостоять опасностям заражения. И даже легкая простуда способна вызвать тяжелые последствия.

В докладе были приведены данные эксперимента, проведенного в британских детских больницах, который ясно показал, что у детей, принимающих антибактериальные препараты, в организме вырабатывается больше болезнетворных бактерий, устойчивых к антибиотикам.

Особенно плачевной является ситуация с маленькими детьми, до 2-3 лет. Их иммунная система еще только формируется, и когда малейшую простуду врачи начинают лечить антибиотиками, в иммунной системе появляется брешь на всю жизнь. Организм очень быстро привыкает «лениться», и решать проблему с помощью лекарств. Бороться своими силами он так и не научится. В результате ребенок обречен на ежегодное перебаливание всеми заболеваниями, с которыми он встречается в детском саду, в школе и на улице.

Ситуация усугубляется еще и тем, что очень часто назначенные антибиотики являются лишними. Их стоит назначать только в тех случаях, если к простой вирусной инфекции присоединилась бактериальная. Иначе лечение антибиотиками не оправдано вовсе.

Хотя в последние годы, благодаря публикациям и исследованиям в этой области, детские врачи стараются ограничить использование антибактериальных препаратов в своей практике, все же многие предпочитают перестраховаться и назначить их ребенку. Думать о последствиях, к сожалению, у наших врачей не в чести. Их задача – вылечить конкретную болезнь. А о том, к чему может привести это лечение, задумываются единицы. Но думать нужно. Тем более, что видные деятели медицины обращают на это наше внимание.

Дело за родителями. Старайтесь анализировать все назначенные малышу препараты, если нужно, обратитесь к нескольким врачам и сравните их мнения. Постарайтесь дать вашему ребенку возможность справиться с болезнью, особенно если это легкая вирусная инфекция, силами собственного организма. Тогда впоследствии он будет меньше болеть.
По материалам сайта www.mamashkam.ru

 

Как принимать лекарства

Как принимать лекарства

Сочетаемость продуктов и лекарств - это целая наука.

Запиваете лекарства всем, что оказывается под рукой, - соками, чаем, молоком? Тогда не удивляйтесь, если эффект от лечения будет нулевой или даже отрицательный.
Нежелательные сочетания
Молоко, молочные продукты, йогурты - и антибиотики, особенно тетрациклины и хинолоны для лечения инфекционных и половых болезней.
Результат: снижение эффективности.
Зверобой - и оральные контрацептивы, антидепрессанты, препараты против СПИДа. Результат: отсутствие эффекта.
Опасные сочетания
Грейпфрутовый сок - и антидепрессанты, оральные контрацептивы, антибиотики, сердечно-сосудистые препараты, виагра и ее аналоги. Результат: депрессия только усиливается, риск беременности не снижается, а сердечно-сосудистые препараты и виагра накапливаются и могут очень резко понизить давление, привести к сердцебиению, головной боли.
Клюквенный сок - и варфарин (антикоагулянт). Результат: передозировка и кровотечения в желудочно-кишечном тракте.
Газированные напитки - и антибиотики, успокоительные, препараты для суставов, антацидные препараты, уменьшающие кислотность желудка. Результат: снижение эффекта и раздражение слизистой желудка.
Цитрусовый сок - и аспирин. Результат; поражение слизистой желудочно-кишечного тракта, боли в желудке.
Полезные сочетания
Молоком рекомендуется запивать бутадиен, индометацин, метронидазол, фурадонин, кортикостероиды, препараты йода и витамины A, D, Е, К, а щелочной минеральной водой - сульфаниламиды, салицилаты, аспирин. Чтобы аспирин не так агрессивно действовал на слизистую желудка, его можно принимать с рисовым отваром или киселем.
Правила приема лекарств

1.Если нет специального указания, лекарства нельзя пить непосредственно перед едой или сразу же после нее. Между приемом пищи и препарата должно пройти полчаса.
2. Не забрасывайте в рот горсть таблеток. Между приемом разных лекарств тоже должен быть промежуток не менее 15 минут.
3. Запивайте лекарства кипяченой водой комнатной температуры, не ледяной и не горячей.
4 Воды должно быть не менее стакана, иначе таблетка не сможет быстро раствориться в желудке.
Внимание !!!

Нельзя запивать таблетки чаем или кофе.
Кофеин резко понижает эффективность препаратов, в союзе с оральными контрацептивами или успокоительными может привести к бессоннице, сердцебиению, возбуждению.
Танин Содержащийся в чае, уменьшает действие всех лекарств
Не желательно употреблять лимоны, грейпфруты, другие продукты, раздражающие желудок, когда принимаются препараты, активно на него воздействующие.
 
Вероника БАРАБАШ

 

Мухоморы, травы, масло и другие средства для "лечения" рака

С развитием интернета становится все легче находить информацию по самолечению. Многочисленные целители кричат со своих страниц об эффективности народных средств в лечении любых болезней и даже рака. Между тем, от отравления народными средствами умереть чуть ли не проще, чем от самого тяжелого заболевания.

Пытаясь классифицировать все народные средства, можно выделить две группы - научно "обоснованные" и "лекарства без химии". Ниже мы приводим некоторые "препараты" из каждой группы. Эта информация ни в коем случае не должна рассматриваться читателем как призыв к действиям - никакое противораковое лекарство нельзя применять без назначения дипломированного врача-онколога.

Средства, проверенные "наукой" Среди доступных "проверенных" средств наибольшей популярностью у целителей является ядовитый гриб мухомор. Рекомендуя мухомор как противораковое средство, целители утверждают, что в его состав входят эффективные цитостатики - вещества, используемые официальной медициной для химиотерапии раковых опухолей. Целители, однако, предупреждают - мухомор вызывает побочные эффекты, отравления, но не большие, чем официнальные противоопухолевые препараты.

Больше всего научных обоснований, пожалуй, приводится разработчиками препарата витурид. "Действующим" противораковым веществом в этом "лекарстве" является сулема - дихлорид ртути. Его действие объяснено в многочисленных статьях раздела "наука" на официальном сайте препарата. Содержание этих публикаций поражает количеством научных и псевдонаучных терминов, а наибольший восторг вызывает следующая фраза: "Природа в простоте своей организовала жизнь используя суперэнергетическое поле, пронизывающее Вселенную. Все живое обладает биомагнитными полями (аурой) и отвечает на вибрации суперэергетического поля Вселенной".

"Недоказанная" медицина В этом разделе, пожалуй, представлено наибольшее количество рецептов и методик. Чаще всего целители предлагают больным использовать различные травы, собранные и приготовленные крайне хитрым образом. Встречаются гомеопатические рецепты, настойки с использованием животного сырья, например - смесь барсучьего жира, сока алоэ, меда и коньяка.

В последнее время бешеную популярность завоевал метод Шевченко. Для лечения по Шевченко не надо убивать барсуков, так как жир можно использовать растительный - в виде подсолнечного масла. На коньяк разоряться тоже не обязательно. Можно водку или спирт.

Во время приема чудодейственных водки с маслом Николай Шевченко запрещает больным использовать какие-либо другие противораковые средства, включая официнальные. Они, по словам автора методики, испортят весь "лечебный эффект". Также этот метод накладывает строгие ограничения на образ жизни и питания больных.

Существуют многочисленные модификации метода Шевченко. Они также называются именами своих "авторов" и, к сожалению, не теряют популярности.

По материалам сайта www.mednovosti.ru

 

 

Парацетамол опасен для жизни?

Парацетамол - одно из самых популярных болеутоляющих лекарств в мире - занимает первое место в списке причин острых заболеваний печени со смертельным исходом. К такому выводу пришла группа американских ученых, проводившая исследование по изучению заболеваний печени. Пугающая статистика: в 2003 году более 50% американцев, регулярно употреблявших парацетамол, теперь страдают тяжелыми заболеваниями печени. «Доза лекарств, эквивалентная 10 граммам парацетамола, может привести к опасным для жизни дисфункциям печени», - говорится в исследовании.
Одной из проблем, связанных с употреблением этого болеутоляющего средства, американские исследователи считают недостаточную информированность населения о возможных последствиях использования препарата. Согласно статистике 48% потребителей парацетамола получили передозировку случайно, поскольку употребляли сразу несколько лекарств, содержащих данный препарат.
Но возможно, что американские исследователи умышленно сгущают краски. По мнению российских фармакологов, парацетамол - одно из самых эффективных болеутоляющих средств, производимых во всем мире. И один из немногих препаратов, употребление которого не противопоказано даже детям.
По мнению экспертов, проблема кроется в потребительских свойствах этого препарата: ведь парацетамол - лекарство самостоятельного выбора. Другими словами, едва ли кто будет советоваться с лечащим врачом перед употреблением жаропонижающего средства. Действительно парацетамол – симптоматическое средство, которое лишь на время помогает снять температуру или боль, однако не устраняет причину заболевания. Зачастую именно это и приводит к тому, что люди принимают его снова и снова. «Безрецептурные препараты активно рекламируются как панацея от всего, - считает коммерческий директор ЗАО «Мастерлек» Наталья Полежаева. – Поэтому люди часто покупают их, не посоветовавшись с врачом, что приводит к печальным последствиям».
Не исключено, однако, что антиреклама парацетамола связана с извечной конкуренцией между фармпроизводителями. «Я бы не стал серьезно относиться к подобной жареной информации, - говорит Александр Эдигер. – Ведь неизвестно, кто оплачивал проведение этого исследования. Вполне возможно, что оно не имеет ничего общего с чистой наукой и санкционировано компанией-конкурентом».
По материалам сайта Gazeta.ru 

 

Польза аспирина для женщин среднего возраста

 Женщины среднего возраста, страдающими сердечно-сосудистыми заболеваниями после принятия ацетилсалициловой кислоты (аспирина) увеличивают продолжительность своей жизни.
Так по данным, представленным на ежегодном собрании американской кардиологической ассоциации в Далласе, выяснилось, что аспирин в значительной степени уменьшает риск смертности у женщин, страдающих сердечно-сосудистыми заболеваниями.
Во время этого исследования авторы проанализировали, данные добровольного полученные из организации Women's Health Initiative (основанной Национальным институтом здоровья). Из 93,676 женщин в возрасте от 50 до 79 лет, участвовавших в исследовании, исследователи сфокусировали свое внимание на 8928 женщин, у которых были выявлены сердечно-сосудистые заболевания, включая сердечный приступ, инсульт, а также переходящие нарушения мозгового кровообращения, сердечные боли, или которые перенесли операции аортокоронарного шунтирования. По результатам шести с половиной лет наблюдения женщин, регулярно принимавших аспирин, смертность в этой группе снизилась на 17 % по сравнению с женщинами, не принимавшими аспирин. В этой же группе пациенток было отмечено снижение на 25% смертности от сердечно-сосудистых заболеваний. Эффективность терапии 81 мг и 325 мг была идентичной.
По мнению руководителя женского кардиологического отделения Нью-Йоркского госпиталя Lenox Hill доктора Голдберга (Nieca Goldberg), полученные результаты вполне убедительны и дают представление о пользе аспирина для женщин в постменопаузе, страдающих сердечно-сосудистыми заболеваниями. Также по мнению других американских исследователей, аспирин способствует улучшению беспрепятственного кровообращения, уменьшению тромбообразования и как следствие, снижение атеросклеротических процессов.
По данным: www.Solvey-pharma.ru 
   

 

Польза и вред профилактического применения аспирина

По мнению австралийских ученых, лица, достигшие семидесятилетнего возраста, далеко не всегда должны принимать аспирин для профилактики сердечных приступов. Препятствием для "аспиринопрофилактики" являются неблагоприятные побочные действия вследствие приёма указанного медикамента.
Австралийские исследователи пришли к выводу, что польза от приема аспирина нивелируется опасностью кровотечений. Основанием для таких выводов послужило исследование 20,000 людей в возрасте 70-74 года без сердечно-сосудистой патологии. Тем не менее, с точки зрения Британской Ассоциации Сердца (British Heart Foundation - BHF) аспирин (ацетилсалициловая кислота) полезен для лиц с высоким риском сердечно-сосудистой патологии и инсульта.
Однако профессор Питер Вайсберг (Peter Weissberg) медицинский директор BHF отмечает, что необходимы дальнейшие контролируемые исследования этого вопроса у лиц пожилого возраста.
Доктора рекомендуют принимать аспирин лицам с повышенным риском сердечно-сосудистых заболеваний, если нет факторов риска возникновения кровотечений или других нежелательных побочных действий ацетилсалициловой кислоты. Известно, что прием аспирина может сопровождаться желудочными кровотечениями и кровоизлияниями в мозг.
Исследователи из университета Тасмании считают, что польза и вред от приема аспирина должны быть тщательно взвешены, если речь идет о пожилых людях.
Каждые три минуты от сердечного приступа или инсульта погибает один взрослый британец. Инсульт - третья по частоте причина смерти британцев, который ежегодно уносит 70,000 жизней.
По материалам сайта Medafarm.ru

 

Разжевывание аспирина разрушает зубы

Разжевывание аспирина разрушает зубы Постоянный приём аспирина как болеутоляющего средства может привести к необходимости длительного лечения у зубного врача. Учёные со стоматологического факультета Университета Мериленда в Балтиморе рассказали о двух интересных случаях, когда у пациентов, долгое время разжевывавших таблетки аспирина, разрушались зубы. В первом случае речь идет о 52-летней женщине, которая обратились к врачам в связи с сильной болью в височно-нижнечелюстном суставе. Она не была у стоматолога 10 лет, а в течение последних двух лет ежедневно принимала от четырех до восьми таблеток аспирина из-за головных болей. Как правило, она не глотала таблетку, а разжёвывала её. После осмотра выяснилось, что все её зубы нуждаются в длительном лечении, но характер поражения показался стоматологам необычным. Как стало понятно после расспросов, больше всего были повреждены те поверхности, с которыми соприкасался аспирин, который пациентка разжёвывала и держала во рту до полного рас! творения. Второй случай произошел с 42-летним мужчиной, который в течение двух последних лет ежедневно принимал аспирин (в среднем по шесть таблеток) или парацетамол от головной боли. Как и в первом случае, он не глотал таблетки, а разжёвывал их. Осмотр ротовой полости показал значительное повреждение эмали и дентина в местах, где они соприкасались с аспирином.
"Аспирин может оказывать серьёзное разрушающее действие как на твёрдые, так и на мягкие ткани зуба, – заявили авторы исследования, которые рассказали о своих наблюдениях на страницах Journal of the American Dental Association. – Стоматологи должны говорить своим пациентам и другим врачам об опасности разрушения зубов при жевании аспирина".
   

 

Таблица сочетаемости антибиотиков

 

 

Пенициллины

Цефалоспорины

Эритромицин

Тетрациклины

Левомицетин

Стрептомицин

Мономицин

Канамицин

Гентамицин

Линкомицин

Ристомицин

Сульфаниламиды

Бисептол

Фурагин

Невиграмон

Диоксидин

Пенициллины

++

++

-

-

-

++

++

++

++

-

-

+

++

+

+

++

Цефалоспорины

++

 

-

-

-

++

++

++

++

-

-

+

++

+

+

++

Эритромицин

-

-

 

++

++

-

-

-

-

+

+

++

+

++

++

+

Тетрациклины

-

-

++

 

++

+

+

+

+

++

+

++

++

++

+

++

Левомицетин

-

-

++

++

 

+

+

+

++

++

+

+

Стрептомицин

++

++

-

+

+

 

+

-

+

++

+

+

++

Мономицин

++

++

-

+

+

 

+

+

+

++

+

+

++

Канамицин

++

++

-

+

+

 

+

+

+

++

+

+

++

Гентамицин

++

++

-

+

+